
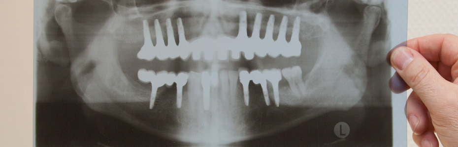
Implants may offer an aesthetic and permanent solution, even for people who are missing all of their teeth. When considering comfort and quality of life, removable prosthetics affixed to permanently anchored implants are clearly the optimal choice. Patients considering implants who do not have any teeth have two options: a fixed row of integrated teeth that is permanently affixed to implants, or a removable version that can be screwed on and off. The removable teeth do not slip or resist pressure but remain fixed to their implants. This treatment option offers a high level of comfort and a natural appearance. Patients who have been forced to cope with traditional dentures that slip, resist pressure, and cause pain when chewing, are delighted to enjoy the superior advantage that either implant option provides.
| Monday | 8 - 15 | ||
| Tuesday | 8 - 13 | and | 15 - 19 |
| Wednesday | 8 - 14 | ||
| Thursday | 8 - 13 | and | 15 - 19 |
| Friday | 8 - 14 | ||